
Kieferorthopädie Wolfratshausen,
Geretsried & Umgebung
Effektive Korrektur von Zahn- und Kieferfehlstellungen
bei Kindern, Jugendlichen und Erwachsenen.

Kieferorthopäden
Dres. Czell
Die Zufriedenheit unserer Patienten
steht für uns im Mittelpunkt!

Scan mich für ein schönes Lächeln
Scannen Sie den Code und machen Sie ein Selfie, um Ihr SmileView Abenteuer zu beginnen.
schienenbehandlung - invisalign
„Unsichtbare“ Aligner für Erwachsene


kieferorthopädische Behandlung
Welche Behandlungsmethode ist für Sie
oder Ihr Kind die richtige?!


Dres. Czell
Über 20 Jahre Erfahrung vor Ort
– für Ihr schönstes Lächeln!



kieferorthopädische behandlungen
herausnehmbare Spange, festsitzende Spange, unsichtbare Spange - Lingualtechnik,
Schienenbehandlung - Invisalign, komplexe kieferorthopädisch-kieferchirurgische Behandlungen, Kiefergelenkbehandlung,
Kieferorthopädie für Erwachsene, Ganzheitliche Kieferorthopädie



fachpraxen für kieferorthopädie
WolfratshausenBahnhofstr. 28 08171-78800 |
sprechzeiten
|
GeretsriedKarl-Lederer-Platz 9 08171-9974940 |
sprechzeiten
|
"herzlich willkommen in unserer kieferorthopädischen praxis
im herzen von wolfratshausen.“
Wir freuen uns über Ihr Interesse!
Die Praxis für Kieferorthopädie dr. czell in Wolfratshausen wurde 1993 eröffnet. In den mehr als 20 Jahren seither haben wir über 4.000 Patienten erfolgreich behandelt. Das macht uns zu Ihrem erfahrenen, zuverlässigen und vertrauenswürdigen Kieferorthopäden für Wolfratshausen, Geretsried und Umgebung.
Doch über zwei Jahrzehnte Erfahrung bedeuten selbstverständlich nicht, dass sich in der Kieferorthopädie nichts ändert und wir nicht mit der Zeit gehen: Unter Praxis erhalten Sie einen Eindruck von unseren kürzlich renovierten und neu ausgestatteten Behandlungsräumen und unter Kieferorthopädie erfahren Sie von allen neuen wie bewährten Methoden und Alternativen der Kieferorthopädie, die wir Ihnen in der Praxis dres. czell anbieten.
Besonders stolz sind wir auf die Rubrik Beispiele. Hier finden Sie eine kleine Auswahl sehr unterschiedlicher Patienten, denen wir in den letzten Jahren auf individuellen und effizienten Wegen zu einer gesunden, funktionalen und attraktiven Kieferstellung verhelfen konnten. Neuigkeiten rund um die Praxis und das Team finden Sie unter Aktuelles.
Am besten vereinbaren wir bald einen persönlichen Beratungstermin, bei dem wir gemeinsam ermitteln, wie wir Ihnen oder Ihrem Kind ein strahlendes Lächeln zaubern können.
Wir freuen uns auf Ihren Anruf!
Dres. Czell Wolfratshausen
neues aus der kieferorthopädie & praxis

Die Verbindung zwischen Zähneknirschen und Stress: Was der Kieferorthopäde tun kann

Kieferorthopädie bei Angstpatienten: So nehmen wir Ihnen die Sorgen

Funktionale Vorteile von geraden Zähnen
mit präzisen eingriffen viel erreichen
Ausstattung auf Stand der Technik, fortlaufende Schulungen aller Mitarbeiter und zwei Fachzahnärzte für Kieferorthopädie, die ein Ohr für Ihre Bedürfnisse haben – das alles ist für uns selbstverständlich. Doch damit ist es nicht genug: Wir möchten, dass Sie exakt die Behandlung bekommen, die Sie sich wünschen. Dass Sie z. B. Ihre Spange nur so lange tragen müssen, wie es notwendig ist und sie dabei dabei so wenig spüren, wie es nur möglich ist. Wir beginnen die Behandlung zum zeitlich günstigsten Zeitpunkt und lassen Kräfte auf die Zähne wirken, die sehr schonend zum Ziel führen, bspw. mit superelastischen Bögen (Speed System).
wir machen den mund auf
... denn wir haben nichts zu verstecken! Attraktive Zähne und ein gesundes Lächeln leisten einen wesentlichen Beitrag zur gesamten Ausstrahlung und prägen den ersten Eindruck, den wir voneinander haben. Wir helfen Ihnen gerne dabei, auf Familienfotos, bei Bewerbungsgesprächen und in Ihrem alltäglichen Leben selbstbewusst auftreten zu können.
Vereinbaren Sie ein unverbindliches Beratungsgespräch!
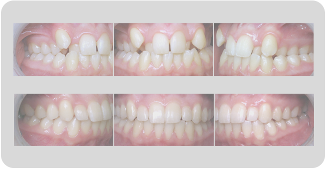
anschauliche beispiele aus 20 jahren praxis-erfahrung

Gerade Zähne auch im Erwachsenenalter
Sie denken Sie sind zu „alt“ für eine Zahnkorrektur? Eine feste Zahnspange kommt einfach nicht in Frage? Wir haben die Lösung für Sie! Die Aligner-Therapie von Invisalign korrigiert Zahnfehlstellungen mit hauchdünnen, transparenten Kunststoffschienen, die ganz individuell für Sie angefertigt werden. Dadurch, dass die Schienen herausnehmbar sind, bereiten Sie Ihnen keinerlei Probleme im Alltag, sei es beim Essen oder beim Zähneputzen. Gerade Zähne gibt’s auch für Erwachsene und das Ganze sogar (fast) unsichtbar!.
Vereinbaren Sie ein unverbindliches Beratungsgespräch!
kieferorthopädie - kieferorthopädische Behandlungen

unsichtbare Spange - Lingualtechnik
Bei der Lingualtechnik bzw. Lingualbehandlung werden die Brackets auf die Zahninnenseite geklebt und sind somit von außen nicht sichtbar.

Schienenbehandlung / Invisalign
Kleinere Zahnfehlstellungen können mit herausnehmbaren, fast unsichtbaren Schienen reguliert werden.

kiefer-orthopädisch-chirurgisch
komplexe kieferorthopädisch-kieferchirurgische Korrekturen der Zahnstellung bei Erwachsenen.



Festsitzende Spange
Für ein optimales Ergebnis werden in den meisten Fällen festsitzende Spangen eingesetzt.

Moderne Kieferorthopädie ist digital
Früher waren Abdrücke unangenehm, Röntgenbilder mit hoher Strahlenbelastung verbunden und Geräte mussten oft nachgebessert werden. Heute geht es einfacher: Mit 3D-Röntgen sehen wir Zähne und Kiefergelenke so genau wie nie zuvor. Digitale Scans ersetzen den Abdruck und liefern präzise Daten. Auf dieser Basis entstehen Geräte, die perfekt passen und von Anfang an angenehm zu tragen sind.
Wir betreuen Patienten aus
Wolfratshausen, Geretsried, Icking, Egling, Höhenrain, Bad Tölz, Dorfen, Deining, Pullach, Hohenschäftlarn, Schäftlarn, Zell, Irschenhausen, Ebenhausen, Münsing, Starnberg, Aufkirchen, Berg, Königsdorf, Beuerberg, Eurasburg, Penzberg, Dietramszell, Baierbrunn, Ascholding, Bairawies, Thanning, Deining, Straßlach, Grünwald, Gelting, Holzhausen, Endlhausen, Großdingharting, Sauerlach, Degerndorf, Ambach, Ammerland, Leoni
wir freuen uns auf Ihren Besuch!
Antworten auf alle Fragen
Brauche ich eine Überweisung vom Zahnarzt? Was übernimmt die Kasse? Wie lange dauert die Behandlung? Tut die Spange weh? Am liebsten beantworten wir Ihnen all diese Fragen persönlich. Wenn Sie möchten, können Sie sich aber gerne auch vorab schon informieren.
Hier geht’s zu den häufig gestellten Fragen!





